Иглу из брюшной полости младенца извлекли врачи в Туркестане
В инфекционное отделение городской центральной больницы 8-месячного младенца доставили с подозрением на корь. Ребенок был беспокойным, у него держалась высокая температура. Однако обследование показало, что причина тяжелого состояния оказалась совсем иной, передает корреспондент агентства Kazinform.
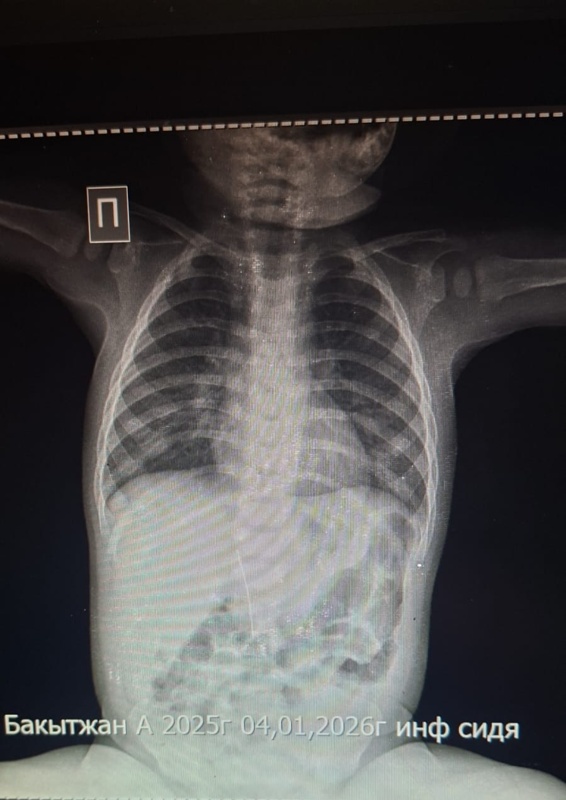
Во время рентгенологического исследования врачи обнаружили в брюшной полости восьмимесячного малыша инородный предмет — иглу. Именно она, а не инфекционное заболевание, спровоцировала боль и высокую температуру.
По словам медиков, игла попала в организм младенца не через пищеварительный тракт. Она проникла извне — в области печени. Мать ребенка подтвердила, что малыш не мог проглотить иглу самостоятельно.

К спасению ребенка подключились врачи городской центральной и детской больниц Туркестана. Младенца экстренно прооперировали, после чего провели полный комплекс необходимого лечения.
— Благодаря своевременно проведенной операции и дальнейшему лечению состояние ребенка стабильно улучшается, восстановление идет быстро, — сообщили в областном управлении здравоохранения.
После случившегося мать малыша обратилась к другим родителям с призывом быть предельно внимательными к безопасности детей и не оставлять мелкие бытовые предметы в зоне их доступа.
Подобные случаи в регионе не единичны. Ранее в Туркестанской области годовалый ребенок проглотил металлический болт длиной около четырех сантиметров. Инородный предмет застрял в гортани, и малышу также потребовалась срочная операция.